Instagram
Twitter
Facebook
Email
HOME
ABOUT US
About QSDL
Mission Statement
Owner's Message
Testimonials
LAB PRODUCTS
Our Products
Milling Center
Gallery
RX FORM
CONTACT US
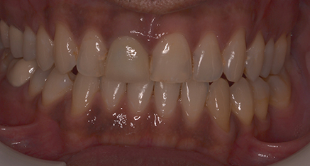
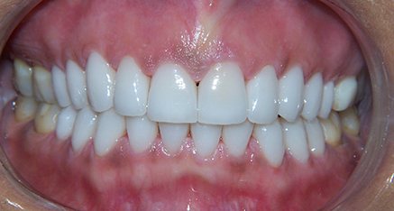
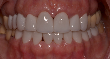
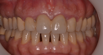
Gallery